EN PROCESO
1. APARATO DIGESTIVO.
2. APARATO URINARIO.
3. LÍQUIDOS ORGÁNICOS, SISTEMA NERVIOSO Y GLOBO OCULAR.
APARATO DIGESTIVO
(Para poder ver mejor las imágenes, pincha en ellas).
- Sialodenitis
- Quistes
- Adenoma
- Pleomórfico
- De células Basales
- Carcinoma adenoide
- Quístico
- Mucoepidermoide
- Esofagitis
- Divertículos
- Esófago de Baret
- Carcinoma epidermoide escamoso (esófago)
- Adenocarcinoma (esófago)
- Úlcera gastroduodenal
- Carcinoma epidermoide escamoso (gástrico)
- Adenocarcinoma (gástrico)
- Linfoma gástricos
- Enfermedad inflamatoria crónica intestinal
- Colitis ulcerosa
- Adenomas (intestino grueso y delgado)
- Carcinoma escamoso y adenocarcinoma (intestino grueso y delgado)
- Linfoma
- Carcinoma colorrectal
- Pancreatitis
- Pseudoquistes (pancreas)
- Adenocarcinoma
- Ductal
- Acinar
- Tumores endocrinos del páncreas
- Hígado graso
- Hemosiderosis
- Acumulación de bilis
- Cirrosis hepática
- Carcinoma (hígado)
- Colangioma
APARATO URINARIO
(Para poder ver mejor las imágenes, pincha en ellas).
- Cistitis
- Uretritis
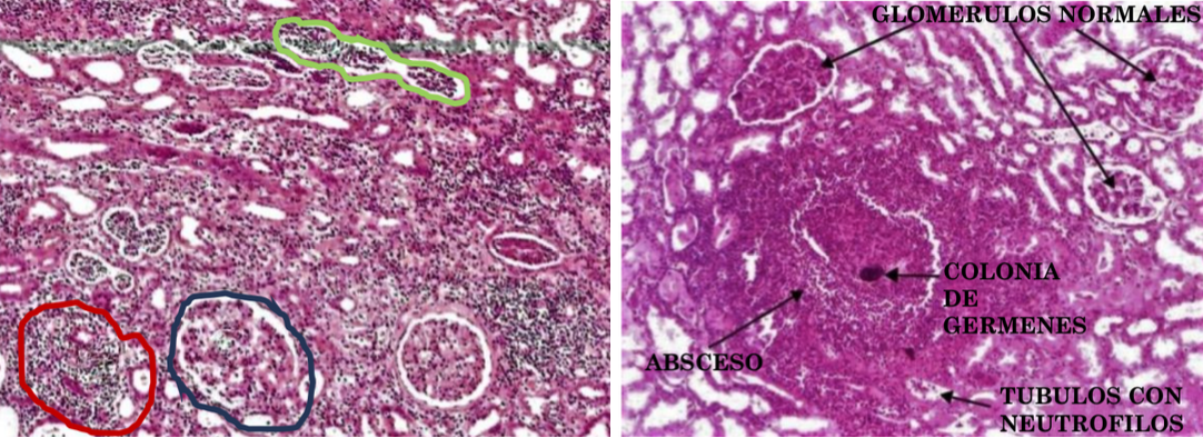
- Pielonefritis
- Aguda
- Crónica

- Malacoplaquía
- Litiasis
- Quistes (riñón)
- Tumores benignos renales

- Tumores benignos de uréter

- Papiloma de células de transición
- Adenocarcinoma (riñón)

- Carcinoma de células claras

- Pelvis renal

- Carcinoma urotelial

- Carcinoma epidermoide

- Tumor de Wilms
- Tumor mesoblástico
- Tumor Rabdoide
- Sarcoma de células claras
- Amiloidosis
- Adenoma de glándulas suprarrenales
- Carcinoma de glándula suprarrenal
- Neuroblastoma
- Feocromocitoma











No hay comentarios:
Publicar un comentario