- DESCRIPCIÓN DE TEJIDOS
- CITOLOGÍA FROTIS VAGINAL
DESCRIPCIÓN DE TEJIDOS
Para poder ampliar tu información, accede a la siguiente entrada "descripción de tejidos". (Para poder ver mejor las imágenes, pincha en ellas).
- UTERO
- ÚTERO CICLO MENSTRUAL - FASE PROLIFERATIVA (FOLICULAR)
- CÉRVIX
- TROMPAS DE FALOPIO - OVIDUCTO
CITOLOGÍA FROTIS VAGINAL
Deberás de ampliar tus conocimientos accediendo a la siguiente entrada "dossier: citología frotis vaginal"; donde obtendrás multitud de información. (Para poder ver mejor las imágenes, pincha en ellas).
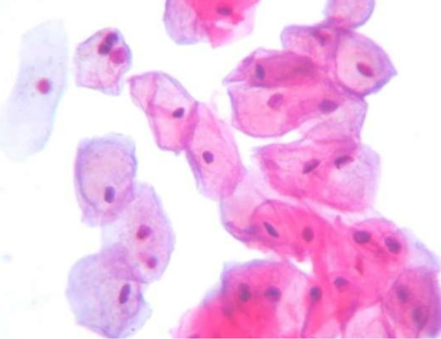
- CÉLULAS SUPERFICIALES
- CÉLULAS INTERMEDIAS
- CÉLULAS PARABASALES
- CÉLULAS BASALES
- CÉLULAS ENDOCERVICALES
- CÉLULAS ENDOMETRIALES
- MACRÓFAGOS E HISTIOCITOS
- LEUCOCITOS
- LINFOCITO
- FLORA SAPRÓFITA
ELEMENTOS NO CELULARES
- MOCO CERVICAL
- ESPIRALES DE CURSCHUMANN
- CUERPOS DE PSAMMOMA
- CUERPOS AMILÁCEOS
- CRISTALES DE HEMATOIDINA
- CRISTALES DE CHARCOT - LYDEN
CONTAMINANTES (CERVICO-VAGINAL)
CÉLULAS DEPENDIENDO DE LA EDAD
- FROTIS ATRÓFICO
- CÉLULAS INFLAMATORIAS
INFECCIONES POR BACTERIAS
INFECCIONES POR HONGOS
- CANDIDA ALBICANS























No hay comentarios:
Publicar un comentario